【裁断済】聴神経腫瘍・小脳橋角部腫瘍の手術とマネージメント 聴神経腫瘍・小脳橋角部腫瘍の手術とマネージメント | 河野 道宏 |本
(4474件)
Pontaパス特典
サンキュー配送
6960円(税込)
70ポイント(1%)
Pontaパス会員ならさらに+1%ポイント還元!
送料
(
)
4464
配送情報
お届け予定日:2026.05.03 15:15までにお届け
※一部地域・離島につきましては、表示のお届け予定日期間内にお届けできない場合があります。
ロットナンバー
65776105332
お買い物の前にチェック!
Pontaパス会員なら
ポイント+1%
ポイント+1%
商品説明

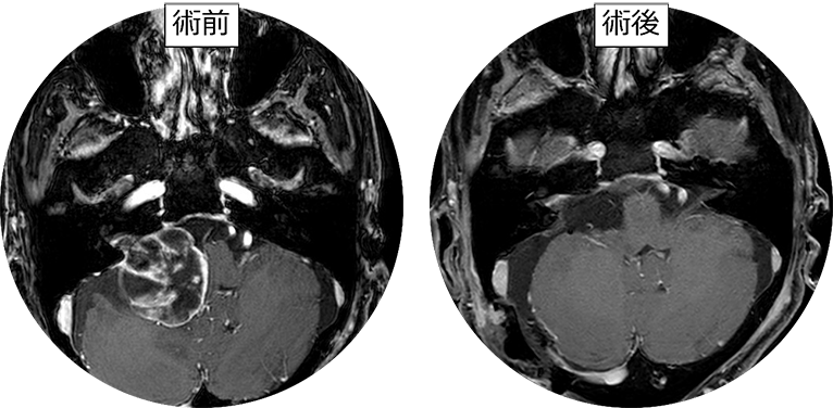
「聴神経腫瘍・小脳橋角部腫瘍の手術とマネージメント」定価: ¥ 19800裁断済みです。#本
| カテゴリー: | 本・雑誌・漫画>>>本>>>健康・医学 |
|---|---|
| 商品の状態: | 全体的に状態が悪い","商品の全体に目立つ傷や汚れ、ダメージがある |
| 配送料の負担: | 送料込み(出品者負担) |
| 配送の方法: | 佐川急便/日本郵便 |
| 発送元の地域: | 東京都 |
| 発送までの日数: | 4~7日で発送 |
レビュー
商品の評価:




4.4点(4474件)
- やっしーだ
- 1か月から読んであげるといいよと知り合いに 言われ1か月の時に購入。でも読んであげても 興味を示さず泣く始末…。もう少し成長したらと 今3か月になってだいぶ目も見えるようになり 笑う事が増えましたが、やはり絵本を読むと 泣いてしまいます…。スライムが怖いのかなぁ😂
- 牛ほるもん
- 凄く良かったので、お友だちにプレゼントしました
- かぞめ
- ●放置しても自動でペンがOFFになる。 ●実写なので分かりやすい。 ●動物、昆虫、乗り物、日用品、歌モードまで様々なジャンルのページがある。 ●某キャラ物のより安い。 贅沢を言うならもっと動物ページの鳴き声音声増やして欲しかった。って事くらいですかね。
- きみきみ3342
- 子どもの頃大好きで何度も読みました。さすがにこのご時世、小さな子1人でおつかいには出せませんが、ドキドキした気持ちを感じて欲しいです。
- lime1115
- ファーストブックにはこれが1番!と思っているので、出産祝いに購入しました。 比較的最近出たこれと似たような趣旨の本が他にもありますが、それよりもひとまわり小さく軽いので、乳幼児でも比較的持ちやすいし、紙があまりツルツルしていないので、手を切る心配も少ないかと思います。 正直なところ、我が子の反応はイマイチだったのですが、友人の子はどハマリして、どこへ行くにも持ち歩いていたらしく、厚紙の本なのに、ボロボロになっていました。 買ってみる価値はあると思います。
- やたいま
- 1歳10ヶ月の電車好き兼歯磨き嫌いの息子に購入しました。 初発は反応が薄かったのですが、その後頻繁に読んでと持ってくるようになりました。 食後の歯磨きはなかなか口を開きませんが、絵本の中のフレーズを言うと素直に口を開けます。 この本の良い点は、ただ「磨こう」と奨励するだけではなく、「前の歯」「奥の歯」「歯の後ろ」など歯にはいろんな部分があること、そこに詰まった食べ物を取る行為が歯磨きなのだと、見えない口の中をカメラで中継しているかのようなリアリティがある点です。 本のフレーズを言いながら磨いてやると、口の中のここが前の歯なのか〜、と理解できるのではないかと期待して、毎日実践しています。 絵本で教育をするわけではないですが、磨いてくれればラッキーと思って購入したので、かなり効果はあったと思います。
- mpv9188
- 仕掛けの絵本が欲しくて購入しました。 予想より小さかったですが、持ち運びに便利です。
- moila
- 中身は簡単で『はーい』『ふわり』『どすん』などわかりやすい言葉ばかり使われています。 中でも1歳8ヶ月の子供は『どすん』などの音の部分が大好きです。 同じシリーズの【れいぞうこ】も購入しました。
- 美濃人
- もうすぐ2歳になる息子に生協のちらしでおススメの絵本に入っていて、購入。リズムをつけて読むのですが、大人的にはたいしたストーリーではないように思えるのですが、リズミカルなところがツボらしく半年経過してもお気に入りです。
- ken7158
- 孫のプレゼント用に購入しました。 すぐに届きました。 プレゼント包装を希望しましたが、料金がかかるため、自分でラッピングをしました。 絵本の梱包自体は丁寧でした。 娘のために読んでいた懐かしいノンたんの絵本、娘も孫も喜んだと思います。 ありがとうございました。
- ひろ19650502
- トトロのDVDにはまっている息子のために購入したのですが、本だとあまり興味をもって見ません。2歳なので少し早いのかも…。
- マッシー1961
- 1歳の子に買いました。 お話の中に子供が登場できるので、楽しいと思います! こんな風に話してみましょうとか動いてみましょうとアドバイスがあるので、読みやすく楽しく読めます。
- wwwnycrecordscom
- 某サイトのおすすめを見て購入。昭和初期テイスト満載のイラストには笑わせてもらいましたが、むきかたがワンパターンで少々がっかり。これに¥1000を出すなんてもったいないことをしてしまった。
- かずかにょ
- 子供に読み聞かせしていたのに私の方が夢中になってました。とても優しい気持ちになりました。
すべて見る
お店の情報
7,367
連絡・応対
4.3
配送スピード
4.3
梱包
4.3










